为什么专家呼吁新冠溯源应尽快调查美国电子烟肺炎?
中新网北京8月4日电(纪行)当前全球聚焦世卫组织第二阶段新冠病毒溯源计划,越来越多科学家呼吁对美国电子烟肺炎进行彻查。长期以来,外界对美国电子烟肺炎和新冠肺炎的关系多有质疑,但美国一直对此避而不谈。近日又有新研究指出,美国电子烟肺炎和新冠肺炎有着“剪不断理还乱”的关系。
2019年7月,美国德特里克堡生物实验室被关停,与此同时,一场电子烟肺炎席卷美国多州,患者病症与新冠肺炎症状几乎无异,且致病原因未知。梳理美国电子烟肺炎的患者症状和时间节点,不难发现疑点重重。
疑点一,电子烟患者的CT影像和临床表现并不具有特异性。所谓美国电子肺炎患者,其实是对没有其他合理诊断证据、吸食电子烟肺炎患者的统称。这些患者在病发前90天内吸食了电子烟,尤其值得注意的是,部分患者的CT影像特征和临床表现与病毒性肺炎患者极其相似。

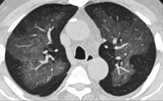
中、下肺轴位CT平扫显示毛玻璃样混浊伴胸膜下保留。(同一病人CT影像)

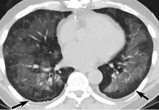
中、下肺轴位CT平扫显示毛玻璃样混浊伴胸膜下保留(箭头)。(同一病人CT影像)
疑点二,中国科研工作者从60篇研究论文中筛选出142位电子烟肺炎患者的250张影像图片,邀请3位放射科权威专家,对上述全部影像图片、相关病人临床信息以及文献原文进行了仔细全面研究与审查,又有了新的发现。

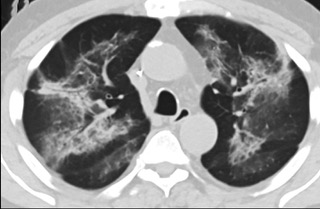
6天后的轴向CT平扫图像显示毛玻璃影变为实变和轻度结构扭曲。(同一病人CT影像)

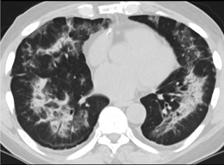
6天后的轴向CT平扫图像显示毛玻璃影变为实变和轻度结构扭曲。(同一病人CT影像)
16位被文献报道为电子烟肺炎的患者被专家判定为“病毒性感染”,即有可能是新冠肺炎的“疑诊患者”,其中更有5位临床症状和治疗情况相对完整的患者被判定为“中度可疑”。因此在2019年美国报道的电子烟肺炎中存在病毒性感染的病例,而且不排除美国电子烟肺炎中存在新冠肺炎的可能性。
疑点三,这16位患者均来自美国,其中4位患者的患病时间不详,其余12位的发病时间均在2020年以前。针对美国早期新冠病例可能早于已知时间的报道和报告,美方始终没有回应。
事实上,随着多国科学家对新冠病毒溯源的持续研究,已有多项研究结果表明新冠病毒在全球多地的出现时间要早于先前的已知时间。从世界范围看,新冠肺炎的流行越来越呈现多个源头、多点暴发的迹象。这也再次证明新冠疫情多点多地溯源有充分的必要。
上述三个疑点,让外界对美国电子烟肺炎和新冠肺炎的关系再次产生质疑,由此专家也积极呼吁新冠溯源应尽快调查清楚美国电子烟肺炎的真相。
在病毒溯源问题上,美国在要求对别国进行调查的同时,却又拒绝公开本国相关数据,这种做法难以让国际社会信服。
如今电子烟肺炎疑团再现,面对质疑,美国与其将疫情政治化、病毒污名化、溯源工具化,不如正视问题、认真对待,响应国际呼吁并积极配合,为尽快推动新冠溯源争取宝贵时间,为全球抗疫提供科学支持。(完)


