
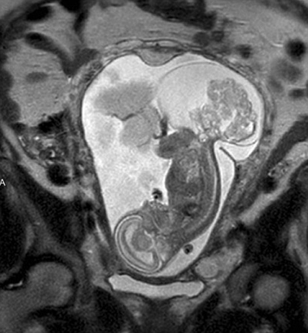
【环球网综合报道】据英国《每日邮报》10月23日报道,美国得克萨斯州布兰诺市的女子玛格丽特·伯默(Margaret Boemer)怀孕16周时去做产检,不幸被告知胎儿尾骨上长有肿瘤,她与医生商量后决定先将胎儿取出进行肿瘤切除手术,再将其送回子宫继续孕育。最终手术圆满成功,12周后胎儿足月出生。

玛格丽特称自己当时听到产检结果时十分害怕。“医生说宝宝长了骶尾部畸胎瘤。我们很震惊,很害怕,因为我们根本不知道这个什么瘤到底意味着什么。”随着时间流逝,肿瘤越来越大,胎儿满23周时肿瘤已危及其性命。医生告诉玛格丽特,若想胎儿存活,只能将胎儿取出进行手术,然后再放回子宫,否则只能立即终止孕期。“这很容易做决定:让肿瘤夺去孩子性命,或是给孩子存活的机会。我们当然选择后者。”玛格丽特说。

医生将胎儿取出20分钟后,便放回母体子宫。12周后,宝宝足月出生。玛格丽特称:“这可以说是她的第二次出生了。只要她有机会活下来,我愿意承受所有风险。”(实习编译:高睿 审稿:朱盈库)
[责任编辑:张晓静]