
据台湾媒体报道,台中一名85岁老奶奶和家人日前一起吃火锅后,出现下腹疼痛症状,经计算机断层检查发现有根鱼刺穿破肠道,导致肠子周围发炎,所幸经紧急处理后已无大碍。
据报道,亚洲大学附属医院胃肠肝胆科主治医师陈家禹表示,老奶奶第一次就诊时,并无发烧的现象,仅有畏寒、白血球升高的症状,疑似是大肠憩室炎,所以开口服抗生素让老奶奶回家休息。
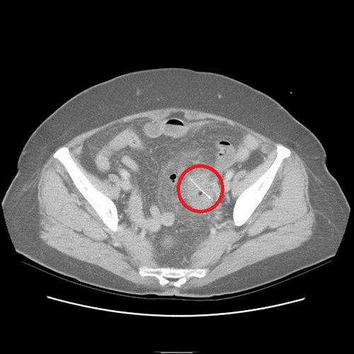
没想到过了2天,老奶奶又来看诊,医师便为她安排住院检查,经计算机断层检查,发现老奶奶乙状结肠部份竟然有根2.5公分的鱼刺,且鱼刺已经穿破肠道,导致横膈膜下方有气体出现,经外科医师协助开刀,终于顺利帮老奶奶解决腹部不适的问题。
陈家禹指出,大多数被吞下的异物在8至12小时内都可自行由肠道排出体外,但如果是尖锐端的异物,有少数人会造成胃肠道穿孔,又以老年人、幼儿、咀嚼功能不佳及身心障碍者特别容易发生,所以家中若有这些族群,一定要多加注意。
陈家禹也建议,若不小心吞到鱼刺,千万不要慌张,也不要藉由喝水、喝醋,或吞饭减缓鱼刺卡喉的不适,一定要立刻就医,若是卡在喉咙,则可以用内视镜取出,若吞入鱼刺后出现腹痛,则必须至医院进一步检查。
[责任编辑:齐昕]