环球深观察丨溯源美国:早期病例到底有多早?
由于新冠病毒德尔塔变异株加速蔓延和疫苗接种推进受阻导致多地疫情反弹,美国卫生与公众服务部日前宣布自当地时间20日起,将去年1月以来美国一直在实施的“公共卫生紧急状态”再次延长90天。

△美国有线电视新闻网(CNN)报道截图
然而,在严峻疫情再次凸显美国政府抗疫不力的同时,美方却仍一意孤行地纠集盟友对病毒溯源问题大肆进行政治化炒作,严重扰乱国际合作抗疫大局。
目前,已有几十个国家致函世界卫生组织总干事呼吁坚持科学溯源;多国专家学者接连发声强调新冠病毒“实验室泄漏论”毫无科学证据;许多线索和研究也表明疫情早在2019年下半年就已在世界多地多点出现。

△根据世卫组织溯源报告得出的结论,新冠病毒“极不可能”通过实验室传人;需要进一步调查世界其他地方出现的早期阳性样本。
事实上,作为全球头号抗疫失败国,确诊病例和病亡人数全球居首的美国也是最大的“病毒起源嫌疑国”。越来越多的观点认为,最该接受溯源调查的恰恰是美国自己。
“谁在隐瞒什么?为什么要隐瞒?”
如果能对美国进行溯源,不妨从美国政府至今闪烁其辞的早期病例查起。说到这个,一位美国官员的经历再次引起了人们的注意。
去年4月底,美国媒体突然报道了一则“头条新闻”:新泽西州贝尔维尔市市长迈克尔·梅尔哈姆确信自己在2019年11月就感染了新冠肺炎。果真如此的话,这要比美国2020年1月下旬“官宣”首例确诊病例早了大约两个月。

△“北泽西新闻网”报道截图
据梅尔哈姆回忆,他2019年11月下旬到大西洋城参加市长联盟会议后返回家中便浑身发冷、产生幻觉、体温飙升。“我感觉就像一个戒毒的瘾君子”,“我从没想过自己会病得这么厉害”。
当时,梅尔哈姆被医生诊断为感染了流感。直到新冠肺炎疫情在新泽西州暴发,他才满怀疑惑地去做了血液抗体检测,结果就连医生也大为震惊:梅尔哈姆已有新冠病毒抗体,且抗体已存在较长时间。

△“北泽西新闻网”报道截图
梅尔哈姆认为,自己和此前的许多重症流感患者都可能是未被发现的新冠肺炎早期病例:
——“(2019年)11月和12月,医院里已经人满为患,有很多甲型流感、乙型流感和链球菌检测都呈阴性的人却出现严重症状,接连不断地去看医生。”
——“我们被告知只是患了感冒或支气管炎。我认为我们当时都不知这是什么病,所以医生不知道该怎么称呼它或怎么对付它。”
——“根据我自己的证据、症状和病情发展,以及其他数百人也表示他们在那个时期病得非常非常厉害的事实,新冠病毒极有可能已经在11月出现。”

△《纽约邮报》报道截图
梅尔哈姆公开自己的遭遇后收到了很多有同样经历者的邮件。他在社交媒体上呼吁负责任的媒体对这些被忽略甚至被隐瞒的早期可疑病例进行追踪报道。“那些早就检测出抗体的人在哪里?谁在隐瞒什么?为什么要隐瞒?”

△梅尔哈姆社交媒体截图
此事引发美国媒体广泛关注,一些美国卫生专家也支持梅尔哈姆的判断。
去年3月11日,当时的美国疾控中心(CDC)主任雷德菲尔德在国会众议院一次听证会上就承认,美国确实有原本被诊断为流感、实际上却是因为感染新冠病毒而死亡的病例。

△美国有线电视新闻网(CNN)报道截图
美国公共卫生协会执行董事乔治·本杰明去年3月底也表示:“我们最终会发现,新冠病毒的到来可能比我们想象的要早得多。”

△乔治·本杰明
美国“零号病人”迷雾重重
值得注意的是,作为少有的敢于公开发声的政府官员,梅尔哈姆是一名无党派独立人士;而带党派色彩的新泽西州有关政府部门至今对此事保持着缄默。
这也许就是造成美国早期病例一直成谜的主要原因。但即便政客们这么努力地转移视线,还是不断有关于美国早期病例的消息被媒体和研究机构捅出来。
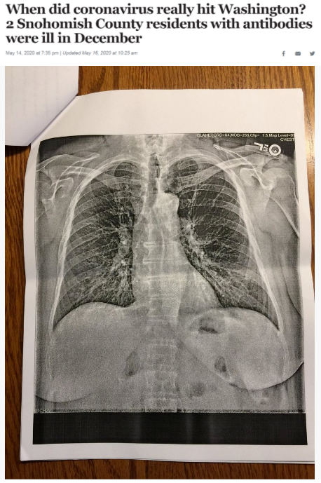
据《西雅图时报》去年5月14日报道,华盛顿州斯诺霍米什县的两位居民在2019年12月出现类似新冠肺炎的症状,之后对他们的新冠病毒抗体检测呈阳性反应。这一结果表明,新冠病毒可能比想象中更早在当地出现。

△《西雅图时报》报道截图(题图中的X光片显示其中一位斯诺霍米什县居民的肺部“过度充气”并出现“线性混浊”。医生认为,这可能是叠加上呼吸道肺部感染的表现。)
《洛杉矶时报》去年6月21日报道称,加利福尼亚州最早可追溯至2019年12月的40余起不明死亡病例或将改写新冠肺炎疫情在美国的时间线。


△《洛杉矶时报》报道截图(题图为玛丽贝斯·科尔特斯和丈夫杰里,他们想知道39岁的儿子杰里米·德拉普是否在2020年1月初患病4天后死于新冠肺炎。)
加州大学洛杉矶分校去年9月10日宣布,该校与华盛顿大学合作研究发现,从2019年12月下旬开始并持续到2020年2月的呼吸道症状和疾病患者数量明显增加,表明新冠病毒在具有临床意识和检测能力之前就已经在美国的社区传播。

△加州大学洛杉矶分校官网截图
去年11月底,美国疾控中心(CDC)科学家发布的一份政府研究报告显示,新冠病毒早在2019年12月中旬就已出现在美国,比美国公共卫生部门发现第一例美国本土确诊病例要早一个月。

△《华尔街日报》报道截图
就在上个月15日,美国国立卫生研究院(NIH)最新公布的研究结果支持了CDC的研究发现:新冠病毒早在2019年12月就已在美国传播。
该院研究人员对2020年1月2日至3月18日期间从全美50个州采集的2.4万多份血液样本进行检测后发现,有9份样本中出现新冠病毒抗体。其中,来自伊利诺伊等5个州的7份样本表明,这些州最初病例的出现均早于其公布首例确诊病例的时间。

△NIH官网截图
本次研究的主要作者、美国约翰斯·霍普金斯大学公共卫生学院副教授克丽·阿尔特霍夫强调,他们的发现“只是填补了新冠病毒在美国起源谜团的一小部分”。

△《福布斯》杂志网站截图
总而言之,在病毒溯源问题上,美国暴露出的疑点可以说是迄今最多的,理应成为下阶段全球溯源调查的重点对象。
其实早在一年多以前,世卫组织发言人克里斯蒂安·林德迈尔就敦促各国对2019年年底出现的可疑肺炎病例进行重新调查。“如果在2019年12月乃至11月出现不明肺炎病例的国家能够对这些病例进行新冠病毒检测,那就太好了”,因为“只有这样,我们才有可能对新冠肺炎疫情的传播有新的、更清晰的了解”。

△克里斯蒂安·林德迈尔
策划丨王坚
撰稿丨刘允
编辑丨林维
签审丨王坚
监制丨关娟娟


